Why Choose Impladent Art – Your Best Dentist in Akurdi, Moshi, Ravet, and Chinchwad
At Impladent Art, we're dedicated to innovating dental care by offering individualized, superior treatments customized to each patient's particular requirements. Our staff of highly skilled and knowledgeable experts is committed to providing excellent care, making sure that every patient has a positive and pleasant experience at our clinic. Impladent Art is regarded as the best dentist in Akurdi and the surrounding districts for the following reasons:
Exceptional Expertise and Advanced Technology
Impladent Art combines modern technology with qualified dentists to deliver safe, efficient, and successful treatments. We customize each service to guarantee the best outcomes, whether you're seeking restorative treatments, cosmetic operations, or preventive care. Impladent Art has become the best dentist in Moshi and beyond by fusing knowledge with the newest advancements in dental technology, allowing people to have beautiful, healthy smiles.
Patient-Centered Care in a Welcoming Environment
Because we recognize that dental appointments can occasionally induce anxiety, our office is set up to provide a relaxing and comfortable environment. Every element of our service, from our amiable staff to our individualized consultations, is designed to put patients at rest. Impladent Art is known as the best dentist in Ravet and the surrounding areas because of their dedication to patient happiness.
Comprehensive Dental Services for All Ages
From simple cleanings to intricate dental operations, Impladent Art offers a comprehensive range of dental services. Using state-of-the-art technology and a patient-centered approach, we make sure every visit is fruitful and satisfying. Many families trust us as the best dentist in Chinchwad and the surrounding areas because of our dedication to providing high-quality service and ensuring patient comfort.
Impladent Art, regarded as the Best Dentist in Akurdi, Moshi, Ravet, and Chinchwad, offers outstanding oral care. Allow us to assist you in achieving the ideal smile in a kind and expert setting.
As the best prosthodontist in PCMC, Dr. Sonali Nalawade provides great dental care to the communities of Nigdi, Chinchwad, and Pimpri-Chinchwad (PCMC). Her reputation for providing restorative dental care is built on her expertise in prosthodontics and her patient-centered approach. Dr. Sonali Nalawade has established a reputation for providing high-quality outcomes through her use of advanced technologies and her dedication to personalized care, ensuring her patients attain great dental health and confident smiles.
Implant Process
Our Successful Cases
Case 1
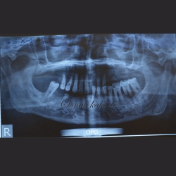
Pre-operative OPG
Post-operative Scan
Healing Abutment
Healing Abutment
Abutment in Place
Ready for Definative
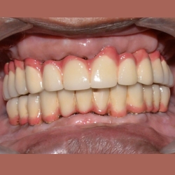
Fixture with Prosthesis
Fixture with Prosthesis
Fixture with Prosthesis
STEP 10
STEP 11
Case 2 (Pre-Post)
Case 3
STEP 1
STEP 2
STEP 3
STEP 4
STEP 5
STEP 6
STEP 7
STEP 8
STEP 9
STEP 10
STEP 11
STEP 12
STEP 13