Treatments

Implant & Dental Art - Treatments

Laminates

Laminates & Veneers in Chinchwad – Perfect Smile Makeovers

Laminates and veneers are popular options in cosmetic dentistry for smile designing. Here's an overview of each:

Laminates

Description:

Material: Typically made from porcelain or composite resin.
Thickness: Very thin, often around 0.5 mm.
Application: Bonded to the front surface of the teeth.
Procedure: Minimal tooth preparation is needed. Sometimes, no preparation is required.
Durability: Long-lasting, especially porcelain laminates, which resist staining better than composite ones.

Uses:

Minor discoloration or staining.
Slight misalignment or small gaps.
Chipped or slightly worn teeth.
Minor shape or size adjustments.

Veneers

Description:

Material: Usually porcelain or composite resin.
Thickness: Slightly thicker than laminates, generally 0.5-1 mm.
Application: Also bonded to the front surface of the teeth.
Procedure: Requires more tooth preparation compared to laminates. A small amount of the natural tooth structure is removed to fit the veneer.
Durability: Highly durable, especially porcelain veneers, which are more resistant to staining and wear.

Uses:

More pronounced discoloration or staining that doesn’t respond well to whitening.
Moderate misalignment or larger gaps.
Chipped, cracked, or significantly worn teeth.
More substantial shape or size adjustments.

Comparison and Considerations

Aesthetic Results: Both laminates and veneers can provide natural-looking results. Porcelain tends to mimic the light-reflecting properties of natural teeth better than composite resin.
Tooth Preservation: Laminates are less invasive as they require minimal to no removal of the tooth structure. Veneers require more extensive preparation.
Longevity: Porcelain options for both laminates and veneers tend to last longer and are more resistant to staining compared to composite resin.
Cost: Veneers are generally more expensive due to the more extensive procedure and the material used.

Procedure Steps for Both

Consultation and Planning: Discussing goals, examining the teeth, and possibly taking X-rays or impressions.
Preparation: Removing a small amount of enamel (more for veneers), and taking an impression of the prepared teeth.
Temporary Laminates/Veneers: Temporary coverings may be placed while the permanent ones are being made.
Bonding: The laminates or veneers are bonded to the teeth using a special adhesive and light-cured for hardening.
Follow-up: A follow-up visit to ensure everything is properly bonded and the patient is satisfied with the results.

Both laminates and veneers can significantly enhance the appearance of a smile, but the choice between them depends on individual needs, the condition of the teeth, and the desired outcome.

Laminates Process

Our Successful Cases

Case 1

the smile makeover dental laminates in akurdi and chinchwad
1

STEP 1

simple process dental laminates in nigdi
2

STEP 2

smile makeover with laminates in ravet and moshi
3

STEP 3

laminates in pcmc 6 step cosmetic dental solution
4

STEP 4

laminates in pradhikaran simple and effective 6 step procedure
5

STEP 5

laminates in pcmc dental clinics
6

STEP 6

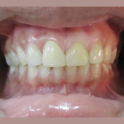
Case 2 (Pre-Post)

Before After
Before After
Before After

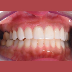
Case 3 (Pre-Post)

Before After
Before After

Case 4

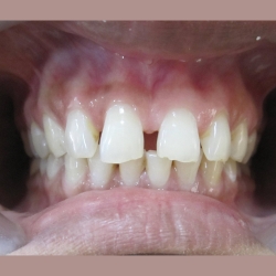
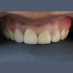
pre operative frontal view dental case assessment
1

Pre-operative frontal view

intra oral frontal view of dental procedure
2

Intra oral frontal view

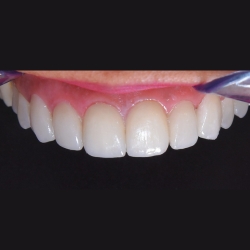
definitive cementation of dental restoration
3

Definitive cementation

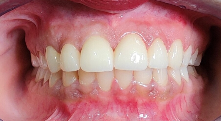
frontal view in occlusion of dental procedure
4

Frontal view in occlusion

extra oral front view of dental transformation
5

Extra-oral front view