Treatments

Implant & Dental Art - Treatments

Root Canal

Root Canal Treatment in Akurdi – Pain-Free Dental Care

Root canal treatment, also known as endodontic therapy, is a dental procedure to treat infection or damage within the tooth’s pulp (the innermost part containing nerves and blood vessels). Here’s a step-by-step description of the process:

Diagnosis: The dentist examines the tooth and takes X-rays to determine the extent of the infection or damage.
Anesthesia: Local anesthesia is administered to numb the tooth and surrounding area, ensuring a painless procedure.
Access Opening: The dentist drills an opening through the crown of the tooth to access the pulp chamber and root canals.
Cleaning and Shaping: Using small files, the dentist removes the infected or damaged pulp tissue from the pulp chamber and root canals. The canals are then cleaned, disinfected, and shaped to allow for filling.
Filling: The cleaned and shaped canals are filled with a biocompatible material, usually gutta-percha, to seal them and prevent future infection. A temporary filling is placed in the access opening.
Restoration: After the root canal is complete, the tooth often requires a crown to restore its strength and function. The dentist may place a permanent filling or crown in a subsequent visit.
Follow-up: The dentist schedules follow-up appointments to ensure the tooth is healing properly and the infection has been resolved.

Root canal treatment helps save a tooth that might otherwise need to be extracted, preserving the natural tooth structure and maintaining oral health.

At Impladent Art, our specialty is offering top-notch root canal treatments that are customized to our customers' need. We take pride in providing the best dentist committed to maintaining your dental health to the communities of Moshi, Ravet, and Chinchwad.

In case you're looking for the best dentist in Moshi, our team is dedicated to providing a painless and comfortable dental experience. Our skilled dentists use innovative techniques to carry out root canals quickly and painlessly, allowing you to keep your natural teeth.

Our dentist office is well-known in Ravet for offering superior dental care. To make sure you understand the procedure and are comfortable throughout your appointment, the best dentist in Ravet places a strong emphasis on patient education and individualized treatment plans.

We provide complete root canal services, carried out by the best dentist in Chinchwad and Pimpri, to locals. Every visit is a good experience because of our caring approach and state-of-the-art facilities, which emphasize both short-term and long-term dental health.

Root Canal

Our Successful Cases

Case 1

Root Canal Diagnosis in Akurdi & Chinchwad – Expert Check-up
1

STEP 1

Root Canal Anesthesia in Nigdi – Painless Dentistry
2

STEP 2

Root Canal Access Opening in Ravet & Moshi – Skilled Care
3

STEP 3

Root Canal Cleaning & Shaping in PCMC – Infection Removal
4

STEP 4

Root Canal Filling in Pradhikaran – Secure Sealing
5

STEP 5

Root Canal Restoration in Moshi – Crown & Strength
6

STEP 6

Root Canal Follow-up in Chinchwad & Pimpri – Care & Check-ups
7

STEP 7

Root Canal Diagnosis in Nigdi & Akurdi – Advanced X-rays
8

STEP 8

Root Canal Cleaning in Ravet – Gentle Infection Removal
9

STEP 9

Root Canal Filling in PCMC – Long-lasting Protection
10

STEP 10

Root Canal Restoration in Moshi & Pradhikaran – Durable Crowns
11

STEP 11

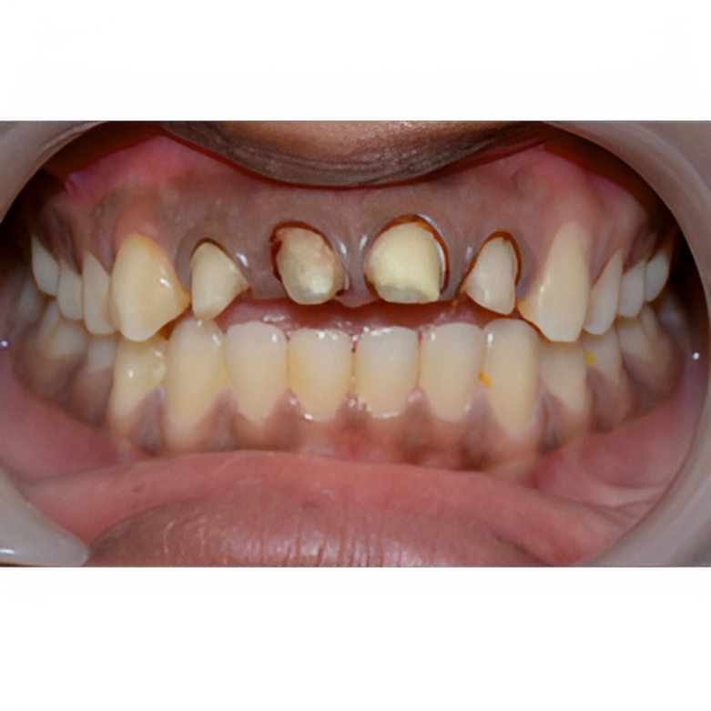
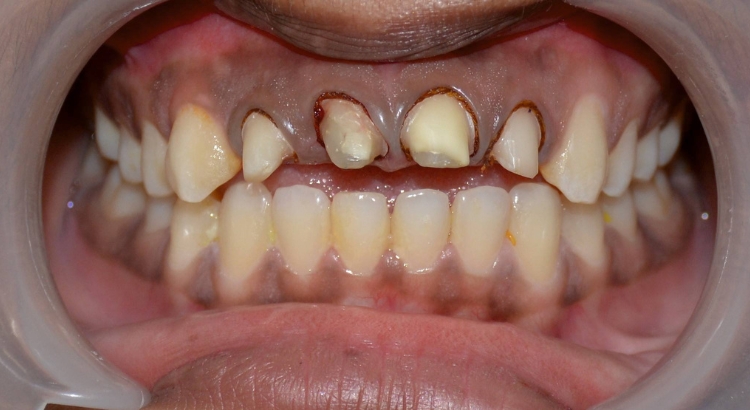
Pre Post Case

Before After