Treatments

Implant & Dental Art - Treatments

In PCMC Dental Implant Specialist: Your Path to Perfect Smile

The best course of action for anyone seeking a long-term solution to tooth loss is to schedule an appointment with a PCMC dental implant specialist. Dentistry has undergone a revolution because of dental implants, which provide durable, aesthetically pleasing tooth replacements for those who lack teeth. Dental implant specialists offer dependable and secure treatments that enhance both oral health and cosmetic appeal using cutting-edge technology and techniques.

What is a Dental Implant?

A titanium post called a dental implant is surgically inserted into the jawbone to provide a strong base for a crown, replacement tooth, or even a full set of teeth. This process provides a tooth-like appearance and functionality by imitating the structure of a natural tooth. Unmatched stability can be restored to your smile with a dental implant, regardless of the reason for your tooth loss—disease, trauma, or any other factor.

Why Choose a Dental Implant Specialist?

Precision and experience play a crucial role in dental implant treatments. A PCMC dental implant specialist has received extensive training to guarantee precise implant placement,which improves integration with the jawbone and averts issues down the road.To guarantee the greatest results for their patients, specialists in this profession complete intensive training in prosthodontics, bone grafting, and oral surgery.

Dental Implant Specialist in PCMC

Dental implants are artificial tooth roots made of titanium or other biocompatible materials. They are surgically placed into the jawbone to support replacement teeth or bridges. Here's a detailed overview:

Components

Implant: The actual titanium screw that is inserted into the jawbone.
Abutment: A connector placed on top of the implant that holds the replacement tooth or crown.
Crown: The visible part of the tooth that is placed on the abutment, typically made from ceramic or porcelain.

Procedure

Consultation and Planning: Initial consultation with a dental professional to evaluate suitability for implants, including X-rays and possibly CT scans to assess bone structure.
Surgical Placement: The implant is surgically placed into the jawbone under local anesthesia. The bone around the implant needs time to heal and integrate, a process known as osseointegration, which can take several months.
Abutment Placement: After osseointegration, the abutment is attached to the implant.
Crown Placement: A custom-made crown is created and attached to the abutment.

Benefits

Durability: Implants are long-lasting and can potentially last a lifetime with proper care.
Functionality: They function like natural teeth, allowing for normal eating and speaking.
Aesthetics: They provide a natural look and feel, blending seamlessly with existing teeth.
Bone Preservation: Implants help prevent bone loss in the jaw, which can occur when teeth are missing.

Considerations

Cost: Dental implants can be expensive and may not be covered by insurance.
Time: The process can take several months from initial consultation to final placement.
Health Requirements: Sufficient bone density and good oral health are essential for the success of implants.
Maintenance: Regular dental check-ups and good oral hygiene are crucial to prevent complications such as infection or implant failure.

Dental implants are a reliable and effective solution for replacing missing teeth, offering both functional and aesthetic benefits.

Implant Process

Our Successful Cases

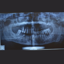
Case 1

pre operative opg for dental implant
1

Pre-operative OPG

post operative dental implant scan
2

Post-operative Scan

healing abutment placement step 14 of implant process
3

Healing Abutment

healing abutment for dental implant
4

Healing Abutment

dental implant abutment in place
5

Abutment in Place

ready for definitive crown
6

Ready for Definitive

dental implant fixture with prosthesis
7

Fixture with Prosthesis

implant fixture and prosthesis
8

Fixture with Prosthesis

fixture with prosthesis step 10 of implant process
9

Fixture with Prosthesis – Step 9

dental implant process step 11 ravet
10

STEP 10

dental implant fixture with prosthesis akurdi
11

STEP 11

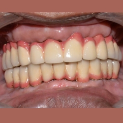
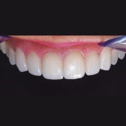
Case 2 (Pre-Post)

Dental Image 1
Dental Image 2
Dental Image 3
×

Case 3

Dental Implant Consultation in PCMC
1

STEP 1

Digital X Rays for Dental Implants
2

STEP 2

Customized Dental Implant Treatment Plan in PCMC
3

STEP 3

Tooth Extraction Before Dental Implants
4

STEP 4

Bone Grafting for Dental Implants
5

STEP 5

Healing After Bone Grafting Implant Preparation in PCMC
6

STEP 6

Dental Implant Placement Surgery in PCMC Expert Oral Care
7

STEP 7

Osseointegration Implant Healing Process in PCMC
8

STEP 8

Dental Implant Abutment Placement in PCMC
9

STEP 9

Healing After Dental Abutment Placement PCMC Care
10

STEP 10

Dental Impressions for Implant Crowns
11

STEP 11

Custom Crown Fabrication for Dental Implants in PCMC
12

STEP 12

Dental Implant Crown Placement
13

STEP 13

Dental Implant Follow up Maintenance in PCMC
14

STEP 14